We use cookies to understand how you use our site and to improve your experience. This includes personalizing content and advertising. To learn more, click here. By continuing to use our site, you accept our use of cookies. Cookie Policy.

Features Partner Sites Information LinkXpress hp
Sign In
Advertise with Us

Download Mobile App




High Altitude Climbers at Risk for Brain Hemorrhage

By MedImaging International staff writers
Posted on 25 Dec 2012
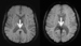
Image: The images show magnetic resonance (MR) slices through the brains of two mountaineers. The image on the left is from a mountaineer who climbed to altitudes above 7,000 meters, and the one on the right is from a mountaineer who survived a high altitude cerebral edema (HACE). The arrows point to the corpus callosum. This part of the corpus callosum is normal in the left image, whereas in the right image (HACE survivor) it shows black spots representing multiple small hemorrhages (microhemorrhages) (Photo courtesy of RSNA/Dr. Knauth et al, University Hospital Gottingen).
Image: The images show magnetic resonance (MR) slices through the brains of two mountaineers. The image on the left is from a mountaineer who climbed to altitudes above 7,000 meters, and the one on the right is from a mountaineer who survived a high altitude cerebral edema (HACE). The arrows point to the corpus callosum. This part of the corpus callosum is normal in the left image, whereas in the right image (HACE survivor) it shows black spots representing multiple small hemorrhages (microhemorrhages) (Photo courtesy of RSNA/Dr. Knauth et al, University Hospital Gottingen).
New magnetic resonance imaging (MRI) research has demonstrated that mountain climbers who experience a specific type of high-altitude illness called high altitude cerebral edema (HACE) have evidence of brain bleeding years after the initial incident.

The new research was presented in November 2012 at the annual meeting of the Radiological Society of North America (RSNA), held in Chicago (IL, USA). HACE is a severe and frequently lethal disorder that can affect mountain climbers, skiers, hikers, and travelers at high altitudes—typically higher than 2,300 meters.

HACE results from swelling of brain tissue caused by leakage of fluids from the capillaries. Symptoms include headache, loss of coordination, and decreasing levels of consciousness. “HACE is a life-threatening condition,” said Michael Knauth, MD, PhD, from the University Medical Center’s department of neuroradiology (Gottingen, Germany). “It usually happens in a hostile environment where neither help nor proper diagnostic tools are available.”

Dr. Knauth and colleagues from the University Hospitals in Gottingen and Heidelberg (Germany), compared brain MRI scans among four groups of mountaineers: climbers with a history of high altitude illness; climbers with well documented episodes of HACE; climbers with a history of severe acute mountain sickness (AMS); and climbers with a history of isolated high altitude pulmonary edema (HAPE), a life-threatening accumulation of fluid in the lungs that occurs at high altitudes. Two neuroradiologists evaluated the brain MRI findings without knowing the status of the mountaineers and assigned a score based on the number and location of any microhemorrhages. “In most cases, these microhemorrhages are so small that they are only visible with a special MRI technique called susceptibility-weighted imaging,” Dr. Knauth said. “With this technique, the microhemorrhages are depicted as little black spots.”

The MRI scans revealed brain microhemorrhages almost exclusively in HACE survivors. Of the 10 climbers with a history of HACE, eight had evidence of microhemorrhages on MRI. The other two had uncertain results. Only two of the remaining 26 climbers were positive for microhemorrhages. “It was previously thought that HACE did not leave any traces in the brains of survivors,” Dr. Knauth said. “Our studies show that this is not the case. For several years after, microhemorrhages or microbleeds are visible in the brains of HACE survivors.”

Survivors of the most clinically severe cases of HACE had the most noticeable traces of microhemorrhages on MRI scans. The hemorrhages were found chiefly in the corpus callosum, the thick band of nerve fibers that connects the left and right halves of the brain, and revealed a characteristic distribution different from other vascular diseases such as vasculitis (blood vessel inflammation). “The distribution of microhemorrhages is a new and sensitive MRI sign of HACE and can be detected years after HACE,” Dr. Knauth said. “We will further analyze our clinical and MRI data on patients with acute mountain sickness, which is thought to be a precursor of HACE.”

Meanwhile, Dr. Knauth does not believe HACE survivors need to give up climbing. “We cannot give such a strong recommendation,” he said. “However, mountaineers who have already experienced HACE once should acclimatize to the altitude very slowly.”

Related Links:
University Medical Center


Ultrasound-Guided Biopsy & Visualization Tools
Endoscopic Ultrasound (EUS) Guided Devices
Post-Processing Imaging System
DynaCAD Prostate
Portable X-ray Unit
AJEX140H
High-Precision QA Tool
DEXA Phantom

Channels

Nuclear Medicine

view channel
Image: This artistic representation illustrates how the drug candidate NECT-224 works in the human body (Photo courtesy of HZDR/A. Gruetzner)

Radiopharmaceutical Molecule Marker to Improve Choice of Bladder Cancer Therapies

Targeted cancer therapies only work when tumor cells express the specific molecular structures they are designed to attack. In urothelial carcinoma, a common form of bladder cancer, the cell surface protein... Read more

Imaging IT

view channel
Image: The new Medical Imaging Suite makes healthcare imaging data more accessible, interoperable and useful (Photo courtesy of Google Cloud)

New Google Cloud Medical Imaging Suite Makes Imaging Healthcare Data More Accessible

Medical imaging is a critical tool used to diagnose patients, and there are billions of medical images scanned globally each year. Imaging data accounts for about 90% of all healthcare data1 and, until... Read more
Copyright © 2000-2026 Globetech Media. All rights reserved.